Die Behandlung von Kindern unterscheidet sich in einigen Punkten von der Erwachsener. Wir haben seit vielen Jahren Erfahrung mit unseren kleinen Patienten. Zaubersack, Zauberstab und Schlafwasser helfen uns dabei, auch in den kleinen Mündern eine überzeugende Behandlungsqualität umsetzen zu können. Gerne händigen wir Ihnen hierzu bei Bedarf unser Merkblatt zum Thema Milchzahnfüllung aus.

Damit möglichst wenig invasive Eingriffe bei Ihrem Kind nötig werden, bieten wir gerne und engagiert auch vor dem 6. Lebensjahr "Kennenlernen" mit Kinderprophylaxe an - in individuell sinnvoll erscheinenden Zeitabständen. Hier werden die Kinder spielerisch mit der behandelnden Zahnärztin und dem Behandlungsstuhl vertraut. Sie gewöhnen sich auch daran, das "Arbeiten" im Mund zuzulassen. Wir glitzern und cremen, bis die Zähne blitzen! Sensibilität für gut gepflegte Zähne und effektive Mundhygiene (Zahnseide auch bei den ganz Kleinen) lässt sich schon früh lernen und fällt dann später auch nicht schwer.
Und wenn doch mal was Kleines zu behandeln ist (Löchlein, Versiegelung, Unfall), klappt das in der Regel gut, weil die Kinder fast alles schon kennen.
Leider bewerten die gesetzlichen Krankenkassen diese prophylaktischen Maßnahmen vor dem 6. Lebensjahr als unnötig - nur das "Reinschauen" (Frühuntersuchung FU) wird bezahlt. Die deshalb hierfür zu erhebende (kleine) private Zuzahlung richtet sich nach dem zeitlichen Aufwand und den individuellen Erfordernissen.
Als LAGZ-Zahnarztpraxis (Landesarbeitsgemeinschaft Zahngesundheit e.V.) sind wir regelmäßig in Kindergärten unterwegs oder laden Kindergartengruppen zu uns in die Praxis ein - so können sich alle Kinder im richtigen Alter spielerisch mit der Sache vertraut machen. Und unser LAGZ-Kuscheltier "Goldie" hilft, die erste Scheu zu überwinden!
![]() Der "Regenschirm" oder Kofferdam- Spanngummi für kontrollierte Arbeitsbedingungen auch oder gerade in kleinen Mündern. So hält die Füllung bis zum natürlichen Zahnwechsel mit ca. 11 Jahren!
|
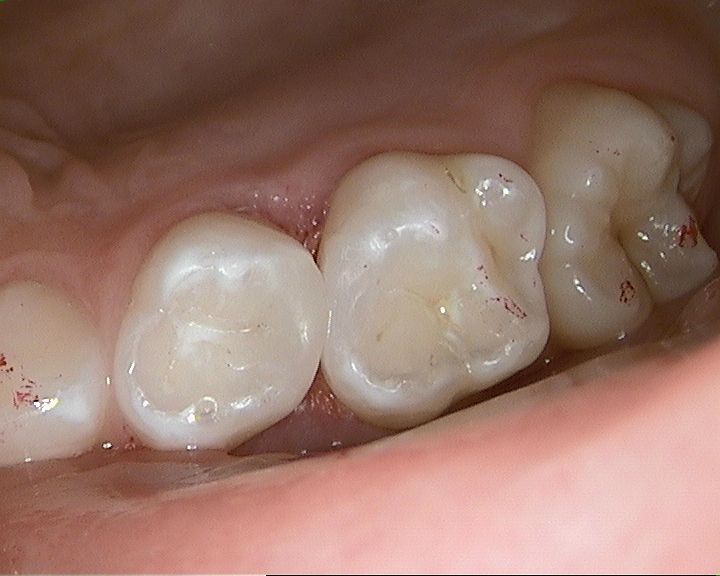
![]() Nichts mehr zu sehen von der Karies - eine gelungene Füllung trotz kleinem Mund und kleinem Kind
|
HAUPTSEITE
